
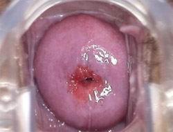
中度宫颈糜烂图片,沈阳张小姐:去年我去医院检查发现有轻度宫颈糜烂,在医院看了一段时间,医生说不是什么大的问题,请问宫颈糜烂是什么啊,中度宫颈糜烂图片有么? 高级妇科类宫颈手术资格认证专家、沈阳京科妇科医院好妇科专家郭梅梅副主任医师介绍中度宫颈糜烂及图片。
沈阳京科妇科医院专家郭梅梅副主任医师介绍,宫颈糜烂是慢性宫颈炎常见的一种病理改变,宫颈外口处的宫颈阴道部呈细颗粒状的红色区,称为宫颈糜烂。糜烂面边界与正常宫颈上皮界限清楚。糜烂面为完整的单层宫颈管柱状上皮所覆盖,由于宫颈管柱上皮抵抗力低,病原体易侵入发生炎症。在炎症初期,糜烂面仅为单层柱状上皮所覆盖,表面平坦,称单纯性糜烂;随后由于腺上皮过度增生并伴有间质增生,糜烂面凹凸不平呈颗粒状,称颗粒型糜烂;当间质增生,表面不平现象更加呈乳突状,称为乳头型糜烂。
在幼女和未婚妇女有时可见宫颈呈红色形似糜烂状,但事实上是宫颈管柱上皮外移所致,并非病理性宫颈糜烂。下面是一些宫颈糜烂图片,有的是轻度有的是中度和重度,大家可以参考一下。不过沈阳京科妇科专家郭梅梅还是建议大家一旦有宫颈糜烂症状就要去正规医院检查,只有那样才能做正确诊断。
宫颈糜烂的主要临床表现为白带增多。由于病原菌的不同,白带可是乳白色粘液样,或形成淡黄色、脓性或血性白带,以乳白色粘液样白带常见。除白带增多外,患者可能伴有腰部酸痛,性交出血等症状,但多数轻症患者可无这些症状。妇科检查为宫颈糜烂确诊的主要手段。以下是宫颈糜烂图片:


宫颈糜烂正常
【专家介绍】

高级妇科类宫颈手术资格认证专家
沈阳京科妇科医院好妇科专家,毕业于白求恩医科大学,曾在中国医科大学、中国人民解放军301总院、中国人民解放军空军医院妇产科从事妇科科研及临床诊治工作30余年,获卫生部颁发《妇科类宫颈手术执业资格证》。
专业擅长:专攻各类妇科疑难杂症诊断治疗,对国际前沿的妇科诊疗技术进行了深入研究,对婚前婚后、孕前孕后及优生优育积累了丰富的临床诊治经验,在宫颈疾病、卵巢囊肿、不孕不育方面有极高的造诣,获业界人士高度赞扬。
科研成果:主编、参编多部医学专著,多次赴北京、上海等城市参加重大学术会议。撰写论文有《治疗宫颈糜烂98例疗效观察》、《宫颈守护及医学理论》等数十篇,获得了业界专家的一致认同,成为了现代国内治疗宫颈疾病的参照文献。
以上是“中度宫颈糜烂图片”的介绍,沈阳京科妇科医院妇科专家郭梅梅指出,轻度宫颈糜烂是指宫颈的糜烂面在1/3以内。轻度宫颈糜烂的症状主要为白带增多。中度宫颈糜烂如果不治疗,很快就会发展为重度,甚至宫颈癌,详情请点击在线咨询医生,在线预约沈阳妇科专家。
沈阳京科妇科提供免费咨询预约服务
输入你的电话号码 专家远程会诊本网站已加密,保护您的个人隐私